- Home
- Content Library
Content Library

CAD/CAM Systems Deliver Benefits Beyond Profit
By Brent Harris, DMD The most successful businesspeople are often visionaries who embrace non-conformist ideas and use them to produce exceptional results. The visionary challenge, specific to technology, is deciding when to transition from the old to the new and also evaluating the financial risk vs. reward. In the last decade, dentistry has experienced large advances in technology, and one of them is CAD/CAM dentistry. With the E4D Dentist, the visionaries at D4D Technologies have introduced an investment that offers significant tangible and intangible rewards to dental practices. FINANCIAL RISK VS. REWARD When weighing the decision to upgrade to a CAD/CAM system, the most important question on most dentists’ minds is,
Location, Location, Location: Kokodynski Orthodontics’s Perfect Location in Lake Geneva, Wisconsin
KOKODYNSKI ORTHODONTICS - LAKE GENEVA, WI Dr. Andy Kokodynski If someone were to envision the ideal spot for an orthodontic office, it would probably be that of Kokodynski Orthodontics in Lake Geneva, Wisconsin. The practice is adjacent to the city’s middle school and across the street from its high school, making it easy for many patients to walk right over! > “A more streamlined sterilization process has allowed our staff more chair > time with patients.” Kokodynski Orthodontics has been open since May 2012, and growth has been steady. When compared to last year, new patient consultations are up 10 percent and revenue has increased 5 percent. Parents are drawn

El Dorado Oral & Maxillofacial Surgery
EL DORADO HILLS, CALIFORNIA Dr. Jason Straw Dr. Jason Straw had been building a second office in his head for about a year and a half, detailing all of its characteristics and equipment long before construction took place. He already owned a thriving oral and maxillofacial surgery practice in Placerville, Calif., but was anxious to grow his practice further. > “We take a lot of time to show patients the technology we use and explain its > benefits. When they actually see the digital images, they understand.” When he discovered a highly visible, heavily trafficked location in El Dorado Hills in 2011, next to the Town Center—the premier destination for

Understanding Credit Card Processing Rates
By Keith Drayer, Vice President, Henry Schein Financial Services Accepting credit and debit cards has become a necessity for dental practices. Patients increasingly want to pay their dental bill by credit or debit card because of the ease, convenience, ability to better manage their finances and the opportunity to earn points, miles and other rewards. There are many benefits to your practice as well, including increased cash flow, reduced collections and improved staff productivity. The rates and fees often associated with a merchant services account generally represent only a very small percentage of patient receivables, yet they can seem complex and confusing. Here is a quick primer on some

The High Cost of Old Technology
By Jason Werner, Henry Schein TechCentral Lakewood Ranch Dental is growing. When Dr. Michael Kanter added digital imaging equipment to the practice’s existing infrastructure to increase office efficiency, office manager Kelley McLane knew it was time to get expert computer network assistance. She called Henry Schein TechCentral Support. What she didn’t know at the time was how much the old hardware was costing the practice in energy and time—and how it was putting patient data at risk. DROWNING IN DATA As consumers, we place high value on the latest digital devices. But while many practice owners are willing to spend money on personal gadgets, they often forget to invest in

Your Tax Incentives Have Never Been So Valuable!
By Keith Drayer, Vice President of Henry Schein Financial Services There is a great benefit to you, your patients, and your team when you increase your practice’s aesthetic appeal, efficiency, and effectiveness. You will experience increased profitability when you are able to focus on delivering an even higher quality of care to your patient base. If you are a health care professional who is thinking of starting, growing, or remodeling an office or going digital, you may be able to do so more affordably in 2013 than ever before. What makes this a highly desirable environment? * Higher tax rates than prior years make all deductions more

Boulder Dental Designs Boulder, Colorado
BOULDER DENTAL DESIGNS - BOULDER, CO Dr. John Montoya, Boulder Dental Designs Boulder, Colorado Boulder Dental Designs is a general dentistry practice set at the base of the majestic Rocky Mountains in Boulder, Colorado. Dr. John Montoya and his staff specialize in cosmetic dentistry, full-mouth cases, a great soft-tissue program, orthodontics, and TMD. Since moving from San Diego and purchasing the existing practice in 2008, Dr. Montoya has enjoyed great success by expanding the services offered by the previous doctor and by providing patients with highly personalized care that gives them a smile they are proud to show off. But that was not how it always was. The doctor’s previous

Kalman Oral Surgery & Implant Center Queens, New York Dr. Doron Kalman
When dentists do not have enough space to accommodate more patients or offer state-of-the-art technology, they are surely not maximizing their practice’s ultimate potential. Dr. Doron Kalman in Elmhurst (Queens), New York, found himself in this situation in 2008 when he became the sole owner of a practice after his partner, Dr. William K. Kopp, retired. Renamed Kalman Oral Surgery & Implant Center, this new dental office quickly grew. Dr. Kalman performed more than sixteen thousand procedures in a twelve-month period and treated fifty to sixty patients in a normal day! However, with just two functional operatories, one recovery room, and a very small reception area with room for

Making the Switch to E4D for a Better Fit
I first looked into chairside CAD/CAM technology when I got out of dental school. In 1999, I saw the results of the process firsthand, a full-coverage, all-ceramic restoration, and I was not impressed. I stayed away from CAD/CAM for nearly a decade because, in my opinion, it was a poor substitute for laboratory-fabricated restorations – the quality just wasn’t what I needed and what my patients expected. Ten years later, I looked again, and the change in the results was dramatic. That fact, combined with the ability to offer same-day restorations, made me a believer, and I purchased my first chairside CAD/CAM system (CEREC, Sirona). I immersed myself in

When I See You Smile
By L. Don Wilson, DDS Ever wonder why you wanted to be a dentist? Really, have you ever just thought through the whys? What was the delayed gratification you expected to receive at the end of that long road as you struggled through undergrad and dental school? I know, I know, it’s the pile of money we take home every week. Right? Yeah, right! > “When I see you smile, I can face the world, I can do anything.” What about a 14-year-old girl that never smiles because she doesn’t like her smile? What if you changed her smile? No, more than that… what if you changed her life?

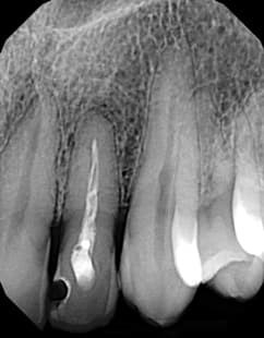
Digital X-ray–Everything I Didn’t Know I Wanted
During the journey through my 40-year career as a hygienist, I have cleaned a lot of teeth, talked to a lot of patients, and of course, taken a lot of X-rays. A lot of things have changed over the years, and one of the most important changes happened in radiography. I have used film from the beginning except for the last two years when the office switched to DEXIS®. Before then, my team members and I were generally satisfied with film, and we wondered why we needed digital. Now, we all say we would never want to practice without it—it’s that significant in our practice. When I first

A Growing Family–Two Winning Announcements from i-CAT
Bringing an extra dimension to the dental practice has always been a focus of Imaging Sciences International with its i-CAT® Cone Beam 3D imaging systems. i-CAT’s quality 3D scans and control over radiation dose translates into optimum care for patients. It gives the clinician the capability to diagnose problems with less radiation and develop treatment plans more easily and precisely. Imaging Sciences International has announced a new, innovative 3D option—the i-CAT® FLX Cone Beam 3D system, designed for greater flexibility in scanning, planning, and treatment. The new i-CAT FLX features the latest high technology tools for patient comfort and image quality: * Visual iQuity image technology provides i-CAT’s clearest

Are You Happy with the Quality and Quantity of Your Patient Base?
Are you happy with the quality and quantity of your patient base? What is the secret to building a quality patient base that allows you to achieve your growth and profitability goals? It has everything to do with communicating your brand; yet we have found that branding is one of the most misunderstood ideas in dental marketing. What is a brand? A brand is how you are perceived. In other words, my understanding and perception of your practice is your brand to me. Every touchpoint and interaction that you have with a patient or potential patient helps them form a perception of your practice. These perceptions will determine their

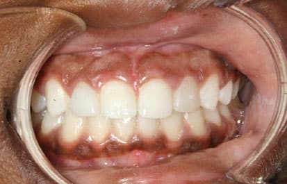
The Science of Early Detection
By Wendy Briggs, RDH The incredible technological advancements in dentistry in recent years have enhanced our role as preventive therapists. One of the most significant changes has been the emergence of digital radiography. Digital radiography provides some very obvious benefits, yet can bring with it some costs. One of the most common mistakes I encounter when it comes to digital radiography, is a practice not having enough equipment to handle the demand for X-rays. Radiograph recommendations were updated by the ADA as recently as 2005. Yet many of us haven’t taken the time to step back and evaluate what we are doing and decide if our protocol should be
Why Your Team Hates You
By Gary Kadi When my company was small, it was easy. Unfortunately, after the organization grew beyond three employees, my team started to hate me, and I couldn’t understand why. If this resonates with you, I feel your pain. I remember looking at inspirational posters you normally associate with corporate offices or the movie Office Space. One had a picture of a sunset above the word INTEGRITY in bold white letters. I realized that this word had no meaning within my company. In today’s world, integrity is an obscure concept. That’s why those posters can elicit cynicism and resentment in the workplace. And dental practices are not exempt. Team members in

Your First Associate…Growing Successfully
By Tom Snyder, Director The Snyder Group, a Division of Henry Schein Professional Practice Transitions RECRUITMENT If your plans are to recruit an Associate in 2013 and you want to ensure you get the right candidate to join your practice, we can help you Henry Schein Nationwide Dental Opportunities (HSNDO) can assist you with finding an Associate who meets your criteria. HSNDO maintains a large database of candidates throughout the country. Proper background screening is an important part of the recruitment process. It takes time to create and place classified ads, receive numerous phone calls from interested applicants, review résumés, check references and finally meet and interview the candidates. As

20/20 Dentistry
By Douglas Klein, DDS It was 1983 when LensCrafters® first opened, bringing a clinician (optometrist) and a laboratory (lens grinding) together under one roof to offer control of the entire procedure and offering patient convenience like never before.1 In the 1980s, three dental pioneers (Duret, Moermann and Andersson2) began work on a similar concept in dental care utilizing digital data for computer-assisted design with computer-assisted manufacturing (CAD/CAM). Even though it’s been more than 25 years since the introduction of a chairside restorative system, only around 10 percent of dental practices in North America have this technology.3 Why? Most of us have heard the stories where occlusion had to be created

Small Town, Big Surprise: 2012 Gendex Sweepstakes Winner
In September, a dental office in the small town of Bucyrus, Ohio got a big surprise. Since setting up this practice in February 2006, the Nagys have tried to grow their practice options. “We do general dentistry, surgery, some endodontics, Invisalign®, and emergencies,” explains Michelle. Attila started taking a series of orthodontic courses and found that to properly serve orthodontic patients, he would need an imaging system that could take cephalometrics. “Attila is an insomniac and was on the Internet checking out pan and ceph machines that fit the small footprint of our office space,” recalled Michelle. The GXDP-700 piqued his interest, and he signed up for the promotion

Embracing Technology to Streamline Your Practice
By Dr. Charles Blair In the past, dentists could be very successful, even if their practices were inefficient and ignored the benefits of marketing and technology. Not today! With the increase of PPO plan dominance and competition from corporate-owned practices, the cottage industry practice must operate as a business or simply fail, in the longer-term. There are capital costs associated with essential dental technology that must be addressed. The overall business plan for today’s practice must be revenue savvy, not just cost-based. Dentists must stop stepping over dollars to save pennies in an environment where reimbursement is on the decrease. > Dentists must stop stepping over dollars to save pennies

Hutchinson Family Dentistry Hutchinson, Minnesota
Dr. David Mach, Dr. Steven Flinn, Dr. Chuck Neufeld Dr. David Mach and his associates, Dr. Steven Flinn and Dr. Chuck Neufeld, merged their two practices—each with long, 50-year histories in downtown Hutchinson, Minnesota—to form Hutchinson Family Dentistry. But with only five operatories between them, the three doctors had clearly outgrown their locations. They knew they wanted to remain a part of downtown Hutchinson because they all felt a strong connection and appreciation for this culture-rich community. Therefore, building a new practice in a historic location that dated back to the 1800s was appealing to them. FROM HUMBLE BEGINNINGS… In 1883, the building that is now Hutchinson Family Dentistry was
East Kentucky Oral & Maxillofacial Surgery, PSC–Pikeville, Kentucky
EAST KENTUCKY ORAL & MAXILLOFACIAL SURGERY - PIKEVILLE, KY Dr. Chad Street A doctor can be certain he has outgrown his space when incoming patients are overflowing from his lobby into the public areas of the building or waiting in their cars for their appointments. This was the reality for Dr. Chad Street and the East Kentucky Oral & Maxillofacial Surgery, PSC practice. Dr. Street’s Pikeville practice encompassed a large rural area of the state: many patients traveled a great distance to see him. His 1,200-square foot space, which contained only two treatment rooms and one exam room, was far too small for the patient load he had. The

Kokodynski Orthodontics Lake Geneva, Wisconsin
KOKODYNSKI ORTHODONTICS - LAKE GENEVA, WI Dr. Andy Kokodynski Most new dental office design floor plans are built to address problems or issues that inhibit the future potential of the practice. There can be space constraints, an inefficient workflow, or insufficient storage. In the case of Kokodynski Orthodontics in Lake Geneva, Wisconsin, the existing dental office was actually working well for them; it only needed minor adjustments. So why would Dr. Andy Kokodynski decide to take on the intense task of building a brand new office? > I wanted to concentrate on giving our practice a warm, comfortable feel. Nice > colors and a design with a lot of natural

The Dawson Academy’s Unique Collaboration
High up on the 11th floor of a high-rise office tower in St. Petersburg, Florida, the Dawson Academy conducted its world-renowned work of offering continuing education to dental clinicians – a mission it has carried out since 1979 when it was founded by Dr. Peter Dawson. However, the Academy’s office didn’t reflect the level of excellence it is known for. The building was aging, accessibility was poor, parking was an issue, and there was zero visibility on the street. The Dawson Academy faculty Dr. Glenn DuPont and Dr. DeWitt Wilkerson III, and Dr. Ron Kobernick also shared the 11th floor, and worked closely with one another. Together, they came

Do You Need a Marketing Plan?
By Douglas Sligting, President, Dental Branding Can you think of anything in business that works better when it’s not planned? Do you have a marketing plan? Most doctors will agree that shotgun marketing isn’t effective, and it is crucial to success to have a marketing plan in place. So why do so few practices have one? The main reason we’ve found is because most doctors simply don’t know how to create one. With that in mind, let’s take a look at the right way to create an effective dental office marketing plan. 1. **Start with the past:**What has happened in the past is the best indicator