- Home
- Content Library
- Cone Beam CT: A Breakthrough Imaging Technology for Dentistry
Cone Beam CT: A Breakthrough Imaging Technology for Dentistry
ABSTRACT: Accurate images of the craniofacial region are critical for the development of a diagnosis and treatment plan. The Cone Beam CT (CBCT) Scanner represents a significant advance in imaging capabilities for all disciplines of dentistry. This new-generation scanner uses computed tomography technology to provide a complete three-dimensional view of the maxilla, mandible, teeth, and supporting structures with relatively high resolution and low radiation exposure to the patient. This article discusses some of the technical aspects of CBCT and its possible dental usages.


INTRODUCTION: Images of the craniofacial region comprise an important component of the dental patient record. Ideally, the imaging process begins with the development of an imaging goal. The imaging goal is a clinically derived question that employs imaging to find the solution, in other words, using imaging as a tool to seek the answer to a clinical question. Specific and detailed clinical questions require detailed and specific imaging solutions. Digital processes have improved the diagnostic capabilities of the imaging tools being used in dentistry.
DIGITAL IMAGE CHARACTERISTICS: A digital image is composed of picture elements (pixels) that are arranged in a two-dimensional rectangular grid with each pixel having a specific size, color, and intensity value and location within the image (i.e., bitmapped [BMP] or raster). A pixel is the smallest element of a digitized image. The values of the tissues are converted to a gray scale format. Each pixel is assigned a gray scale value that corresponds to the averaged density of all of the tissues contained within that volume. This averaged density is referred to as volume averaging. Volume averaging is a potential source of information loss, more so when the voxel dimension is large. Radiographic images generally use a gray color with an intensity value between 12 bits (212 or 4096 shades of gray) and 14 bits (214 or 16,384 shades of gray). Image resolution is the degree of sharpness of an image along with the ability to visualize small features. The image resolution is influenced by the number of pixel per given length of an image, e.g., pixels/mm, the number of gray levels per pixel (bits), the management of the gray levels and signal to noise ratio. Selected digital imaging devices can produce digital volumes or three-dimensional images.
The volume element (voxel) is the smallest element of a three-dimensional image. A voxel volume can be thought of as a three-dimensional array or stack of bitmapped images with each voxel having a height, width, and thickness.
NEW DIGITAL-IMAGING DEVICES: New and future imaging trends for dentistry include digital imaging and three-dimensional imaging of the maxillofacial regions. The ultimate reward of the technological imaging advancements is the three-dimensional, fully accurate digital representation of the patient’s anatomy. Multiplanar reformatting of the accurate digital three-dimensional image data volume using software tools can provide clinically relevant diagnostic and spatial information. The digital-imaging breakthrough, CBCT, is now available for clinical practice.


Other medical volume scanners (or computed tomography, CT, machines) have either used a single narrow X-ray beam, or a thin, broad fan-shaped X-ray beam to acquire the image data. These beams rotate around the patient in a circular or spiral path as the patient either moves through the scanning machine or as the rotating beam passes over the patient (Carlsson). The CBCT scanner uses a cone-shaped beam geometry that is shaped to encompass the entire region of interest. The cone beam type of CT beam has the advantage of utilizing the X-ray emissions very efficiently, thus reducing the absorbed dose to the patient. This type of beam also allows for the acquisition of the image data in one revolution of the X-ray source and detector without the need for patient movement. The attributes of this new system produce a more efficient and mechanically simpler imaging machine that can be designed for specific purposes such as imaging the maxillofacial region.
CONE BEAM CT: The volume-imaging technique employs the principle of tomosynthesis, and is also known as cone beamed CT because of the shape of the X-ray beam used for image acquisition. CBCT scanners have been designed specifically to image and display the anatomy of the maxillofacial region (Mozzo et al). In a single scan the X-ray source and a reciprocating X-ray sensor rotate around the head and acquire multiple pictures of the region of interest. The acquired pictures are the raw data that subsequently undergo a primary reconstruction to mathematically replicate the patient’s anatomy into a single, three-dimensional volume that is comprised of volume elements (voxels) similar to a Rubik’s cube.
Each voxel is small (0.1-0.4 mm for each of the cube faces) and therefore the image has a relatively high resolution. The field of view can be adjusted to include a portion of or the entire maxillofacial region. The CBCT software allows for reformatting and viewing the image data from my point of view in straight or curved planes and in three-dimensions (Figure 1). Using these software tools the anatomy can be peeled away layer by layer to locate the desired anatomy. The CBCT ranks extremely high when considering the balance between high diagnostic yield, low cost, and low risk (Mah et al).

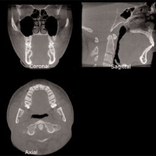
A tremendous amount of anatomic information is contained within the voxel volumes, and this information can be retrieved, analyzed, and viewed at a computer workstation using visualization and/or analytic software. The computer monitor is a two-dimensional, eight-bit display used to visualize three-dimensional, twelve-bit image data. The twelve-bit data can be viewed on an eight-bit display by using the technique of windowing, which allows for visualization of the entire 4096 shades of grey; eight bits at a time. Often, the anatomic volumes are acquired as voxel layers, and stacked as a series of parallel cross sections of the anatomy. These stacks can be displayed and viewed as a series of two-dimensional cross sections by sequentially paging through them in orthogonal planes (sagittal, axial, coronal). This is called multiplaner reformatting (MPR). MPR is the two-dimensional display of three-dimensional data in multiple projection planes (Figures 2a, 2b). Spatial relationships between three simultaneous displayed planes are communicated by projecting one plane onto the corresponding orthogonal planes as lines. Since the anatomic structures of interest occupy multiple layers within a stack, the clinician needs to perform a mental reconstruction of the anatomy. Coronal, sagittal, and axial views can be linked with synthesized views, such as oblique and/or curved slices or slabs. Slices or slab thickness can be manipulated directly and in real-time. The volume or slab of image data can be viewed with different modes of display, including MIP, SSR, and VR.

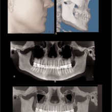
MAXIMUM INTENSITY PROJECTION (MIP) can be used to highlight features. The anatomic features associated with the brightest pixel or voxel intensity are projected on the display screen. This method creates a high-contrast image, but the brighter pixels/voxels may mask or superimpose over less-bright pixels, thus potentially hiding important anatomic features. MIP projections of a CBCT volume or slab (right or left sides) may be a useful method to produce constructed panoramic and cephalometric images for orthodontic purposes (Figure 3). Shaded surface Rendering (SSR) is useful for high-contrast imaging such as bone. SSR techniques allow the operator to set a pixel or voxel intensity threshold that excludes structures lower than the selected threshold, and renders all structures greater than the selected threshold (Figure 3). SSR creates a three-dimensional model that can be rotated as an object to be viewed from any angle. When the tissue contrast is not high, then the selected threshold may not perfectly render the desired anatomy. Volume rendering (VR) also creates a three-dimensional model using no

pixel/voxel threshold for data exclusion (Figure 4). The entire volume is always loaded but tissues are interactively grouped by voxel intensity, and each group can be assigned with a color and transparency value prior to projecting the volume onto the viewing monitor. The operator can rotate the VR model and change the opacity levels, thus providing the sense of peeling away tissues layer by layer. VR is a good way to visually understand the anatomic relationships between structures, and can be used effectively for treatment planning and as a communication tool.
DENTAL APPLICATIONS: CBCT has been extremely valuable for the investigation of impacted teeth, temporomandibular joints, orthodontics, implant planning, and pathology.
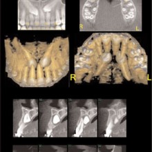
IMPLANTS: Implants that are used to replace missing teeth, for anchorage to mobilize teeth, or dental segments and, in some cases, can be restored to optimize function and esthetics. Implants need to be located where they will have the best chance for success. Prosthetic, anatomic, and biomechanical requirements independently or in combinations are key considerations to be resolved. Three-dimensional imaging techniques can play a significant role revealing the anatomic considerations and linking them to the prosthetic and biomechanical treatment options (Figures 5, 6).
TEMPOROMANDIBULAR JOINT EVALUATION: It is not uncommon for individuals seeking dental treatment to have TMJ conditions that may alter the size, form, quality, and spatial relationships of the osseous joint components. When these conditions occur during development, they may alter the growth of the ipsilateral half of the mandible with compensations in the maxilla, tooth position, occlusion, and cranial base. Severe TMJ conditions may also alter the facial growth pattern. Skeletal and dental changes occur in the vertical, horizontal and transverse directions thus making them difficult to accurately characterize with conventional two-dimensional imaging, such as cephalometric, tomographic, and panoramic projections. CBCT creates the opportunity to visualize and quantify the local and regional effects associated with the TMJ abnormalities. CBCT allows, for the first time, to visualize the TMJs and at the same time, assess the maxillomandibular spatial relationships and occlusion.

IMPACTIONS: Imaging can contribute greatly to localizing impacted teeth, identifying associated pathology, assist planning surgical access, and assist with designing the traction mechanics for moving the impacted tooth into the dental arch and occlusion (Figures 9, 10).
ORTHODONTIC RECORDS: The greatest recent innovation has been the inclusion of the spatially true-size three-dimensional digital image data into the orthodontic records. Ultimately the three-dimensional records will replace the two-dimensional records. The current generation cone beam CT promises to produce, in a single scan, enough information to eliminate the need for conventional panoramic, occlusal, cephalometric, selected periapical, and tempormandibular-joint tomographic studies and possibly plaster dental models. The CBCT data will be superior to that gained from the compiled series of two-dimensional images, and the absorbed dose will be less.

The anatomy sets some of the boundary conditions for tooth position. The identification and visualization of these boundary conditions can be performed by applying volumetric CT during initial workup. There are clinical instances when tooth movement is prevented or diminished because of anatomic boundaries, such as cortical margins, adjacent teeth, and dense bone. In addition, expansion of the dental arch form or tooth torque may be limited or confined by the labial and buccal cortical margins of the alveolar bone. These boundaries are difficult to visualize without the aid of cross sectional or three-dimensional imaging techniques (Figure 9).
With the traditional two-dimensional dental-imaging series some areas of anatomy are poorly visualized. These three-dimensional scans can give valuable information about other areas of the dentition such as the position of the upper incisor roots relative to the lingual cortical border of the palate to plan retraction, the amount of bone available in the posterior maxilla available for distalization, the amount of bone lateral to the maxillary buccal segments available for dental rather than skeletal expansion, airway information on the pharynx and nasal passages, upper root proximity to the maxillary sinus, the three-dimensional extent of an atrophied alveolar ridge, or the position of the lower incisor roots in bone. These scans also allow three-dimensional visualization of bony defects and supernumerary teeth in patients with cleft lip and/or palate. Additionally, axially corrected tomograms of the temporomandibular joints can be obtained from the same scan. The ability to visualize an axially corrected view of the temporomandibular joints with the teeth in occlusion on the same reconstructed section is one significant advantage of the volume scan. Therefore, there is substantial “value-added” imaging benefits to these scans for complicated orthodontic patients.
Linear measurement tools are available in the current software. Software tools to facilitate accurate landmark identification for quantitative measurements, and software to facilitate segmentation of regions of interest within individual slice sections for volumetric measures are currently in development.
ORTHOGNATHIC SURGERY AND DISTRACTION OSTEOGENISIS. The craniofacial hard and soft tissues and their spatial relationships can be analyzed on patient-specific models using appropriate software. The analyzed model can then be used to simulate or test treatment options, and will ultimately be used to assist at time of treatment.
CONCLUSIONS: Computer-assisted imaging is now creating the opportunity for the dental profession to better visualize and study the craniofacial anatomy. New imaging tools CBCT allow for accurate three-dimensional replication and display of the patient in the form of voxel volumes. There are interactive software tools that allow the clinician to peel away the tissue layers and reveal the hidden anatomy that can be invaluable in dental diagnosis and treatment planning.
REFERENCES
Carlsson, C. Imaging modalities in x-ray computerized tomography and in selected volume tomography. Phys Med Biol 1999;44:R23-R56.
Mozzo P, Procacci C, Tacconi A, Tinazzi Martini P, Bergamo Adnreis, IA. A new volumetric CT machine for dental imaging based on the cone-beam technique: preliminary results. Eur Radiol 1998;8:1558-1564.
Mah J, Danforth RA, Bumann A, Hatcher D. Radiation absorbed in maxillofacial imaging with a new dental CT. Oral Surgery, _Oral Medicine, Oral Pathology, Oral Radiology and Endodontics_2003;96(4):508-513.
iCAT manufactured by Imaging Sciences International (ISI), Hatfield, PA NewTom 9000 manufactured by QR, Verona, Italy Dolphin 3D software created by Dolphin Imaging, Chatsworth, CA inVivoDental created by Anatomage, San Jose, CA 3dMD Vultus manufactured by 3dMD, Atlanta, GA