- Home
- Content Library
- Confessions of a Dental "Couch" Potato
Confessions of a Dental "Couch" Potato
Dr. Bryan Couch, Coppell, TX
After 25 years of private practice, it seems like we are always evaluating new technology, how it may benefit our patients and balancing the cost of this technology with a return on the investment before the possibility that this newly purchased technology becomes obsolete.

Let's look at the dental profession. Many dentists are attracted to the profession with a genuine attitude of service. I have had numerous opportunities to talk with fellow professionals who sincerely care about providing the best for their patients. The practice of dentistry may provide a career of service to your patients and the opportunity to provide for your family. With three children (one in law school, one a freshman in college, and an eighth-grader), I feel the pressure to not only provide for my family, but to wisely evaluate any major expenditure for the practice. We simply can't afford to waste investments in our practice or sit on the "couch" and miss opportunities to give the very best to our patients.
Even though dentistry has improved greatly over the years of my practicing career, I am usually asked daily about "…when will they invent a quieter drill" or "…no offense, I really don't want to be here." An article in USA Today (Figure 1) clearly outlined that no matter how great we may think this profession is and the amazing results we can provide our patients; "WE" are still listed as one of people's greatest fears. So, let's take a look at what we can do in our practice right now to help lower that fear of dentistry or at least minimize it. Many people are very resistant to change (dentists included) but if you will walk alongside me I will take you on a journey that I found myself in this past year.

Over the years, I have tried to keep up with trends in dentistry—intraoral cameras, digital radiography, digital photography, computerized paperless office, and all the new advances in dental materials. I have attended, like many of you, all the continuing education I can in order to improve my skills to provide the very best to my patients. BUT, one of the most exciting and revolutionary advances that I have added to my practice is one that has been with us for most of the past 25 years. Who would have ever thought that the gaming industry that provided these games for our kids, lasers and CAD/CAM has been used in other industries for a long time, could actually be the answer to removing some of the dental anxiety and reinvigorate the practice of dentistry?
Just over a year ago, we invested in high technology that I hoped would not only afford me a benefit as a better caregiver but also provide my patients with an obvious difference in their dental experience. That technology was the E4D Dentist System (Figure 2)—the chairside scanner and designing and milling systems that provide total control of my dentistry in every way. The E4D system allows me to provide metal-free restorations in a single appointment (or whenever I want) to without compromising any aspect of care. Any concerns about fit, form, function, and esthetics are all there—and better than ever (Figures 3, 4, 5). The E4D dentist system is the single-most important piece of hi-tech equipment that I have added to my practice in 25 years. I use it daily in my practice—and it has paid for itself from day one.
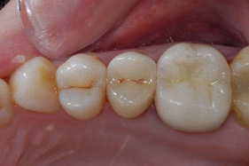
Figure 3: Dental phobic patient presented
with fractured buccal cusp.
Many dentists spend countless hours in continuing education to improve their knowledge, techniques, and delivery of procedures, but this technology demands any restorative dentist to look at what it can do to revolutionize their practice. The time is coming (or really it is already here) to provide our patients with a different mode of delivery for crown restorations. It is amazing that dental lab technicians could take an impression, pour models, wax up a coping, cast the coping, apply an opaque layer, hand stack dentin and enamel porcelains, stain and glaze a restoration, and deliver an amazing restoration for us to cement. Let me suggest a new paradigm; you can now prepare teeth and capture this image with the E4D laser scanner. Impressions are not needed! The software is very user-friendly and it becomes as easy as DREAM, DESIGN, DEVELOP, AND DELIVER! All those dental phobic patients now have a chance for relief…reducing the time in our dental chairs for the dental procedures they fear.
The software is very user-friendly and it becomes as easy as DREAM, DESIGN, DEVELOP, AND DELIVER! All those dental phobic patients now have a chance for relief…reducing the time in our dental chairs for the dental procedures they fear.
Figure 4: Preparation completed, scanned with laser scanner,
and designed using E4D DentaLogic software.
Studies show that nearly 80% of the dentistry we do is considered re-dentistry. This means that many of the teeth we evaluate have been treated before. It has also been stated that 70% of crown & bridge are single-unit posterior restorations. Take some time to evaluate the cases that come into your office; see if chairside dentistry could work for you. Another important consideration is to evaluate how many teeth you just "watch" because you hesitate to be aggressive on placing a crown. Chairside dentistry will offer you conservative treatment options for your patients that will last them much longer and not involve grinding away a tooth.
Here are my recommendations for getting off your dental "couch" and considering a chairside restorative system:
1. Does the investment make sense (cents)?
This one's the easy one. You really just have to reach for your smart phone, iPad, or laptop. Go online to e4d.com, click on "Resources" and move to ROI Calculator (there's also one for Canadian dentists). Read the instructions and fill out the fields. They have made it easy to play "what if" scenarios with all your choices for implementing chairside CAD/CAM.
Only you will know if it is right for YOU and YOUR patients. Make sure you contact your Henry Schein Sales Consultant and ask for a complimentary DPAT (Dental Practice Analysis Tool) that will give you an overview of your practice in all areas of care and relate that to the "norm."
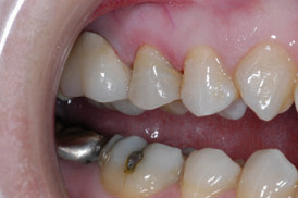
Figure 5: Same-day restoration completed using
the E4D Dentist System. IPS Empress restoration
characterized and glazed for a complete restorative solution.
2. See it for yourself.
If I have piqued your interest then you owe it to yourself and your practice to come and see the E4D System and experience this amazing technology firsthand. Once again, ask your Henry Schein Sales Consultant how you can view the system and experience this hi-tech product. As dentists, we are a touchy, feely profession—we like to see and investigate options for ourselves. Why else would they call an instrument we use everyday an "explorer"? (Sorry for the pun!) Well, again Henry Schein has made it easy by offering a Build-a-Crown event in your area—or come to Dallas, Texas for an E4D Preview. Do some research on preparation design and bring your own case from your office. You can leave with a crown that you can seat in your office. This will show you just how great these restorations look. You get continuing education credit, and I will be surprised if you don't return to your practice with your own E4D System!
Previews are unique experiences and happen every Friday of the year (except holiday weekends) where clinicians and assistants from all over North America participate in a full-day program at the global headquarters of D4D Technologies. You can see where it all happens— where the system is designed and built. The most important thing to me is the training and support. You will quickly ascertain that this company is committed to helping you learn this system. I can honestly say that you will have the confidence in the restorations you deliver because of D4D's dedication to support. They genuinely care about you and your patients. And, since I spend a lot of my Fridays sharing my passion and experience at D4D Technologies— I might just meet you here.
Figure 6: Sample E4D calculator demonstrating the return
on investment (ROI) possible by incorporating an E4D
Dentist System into YOUR practice (www.e4d.com)
3. Just do it!
If you like what you see—just do it! Take the step; I'm right here with you. Invest in this technology. You will not be disappointed. There are many benefits from enhanced tax incentives (Sections 179 and 199) to Total Care Protection (complimentary software upgrades, complimentary remote support, quarterly preventive maintenance, training, and integration) to the amazing clinical realities that become possible. So, just do it— you'll never look back (or at) another tooth/restoration in the same way…guaranteed! Much like me, you might wonder why you didn't get off the "couch" sooner and add this technology to your practice.
Dr. Bryan Couch is a practicing dentist in Coppell, Texas.