- Home
- Content Library
- Gendex—Past Legacy and Future Innovation
Gendex—Past Legacy and Future Innovation
At Gendex, continuous and consistent research and development has resulted in a legacy of digital and radiographic equipment that provides the dental community with opportunities to focus on patient care. Over the years, the names have become synonymous with quality and reliability with products such as the GX-770™ intraoral X-ray, Orthoralix® panoramics, and the AcuCam® line of intraoral cameras. Gendex global product managers share some keen insights into what they’ve learned dentists want and need for their contemporary dental offices.

Filippo Impieri: “The Gendex tradition in imaging began with intraoral X-ray. The company’s technology solutions adhere to high standards of reliability and quality, but also are simple and very intuitive in their use. During the last few decades, Gendex grew strong with the GX-770™, one of the most popular intraoral X-rays ever built. We then added the expert® DC, which offers dentists a simple and fast workflow, user-friendly interface, and unique solutions like the quickset control on side of tubehead for rapid selection of the patient size and exposure setting. Besides the convenience and speed, the expert DC also offers extremely clear, sharp X-ray images. A strong complement to this dynamic unit is our GXS-700™ sensors. These ergonomically designed sensors come in two sizes that are comfortable for the patient and easy to position. They produce clearly detailed images and feature direct USB “plug-and- play” connectivity. Gendex has developed a strong commitment to the intraoral dental X-ray business. As we look at the years ahead, we will continue to engage our significantly large customer base and understand how to address their future needs. The voice of our customers is the key source to trigger future innovation.”
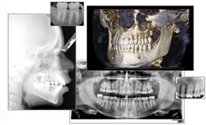
Mike Bosha: “One of the most appreciated innovations of Gendex is the panoramic X-ray machine that fits into any dental office footprint at an affordable price point. The Orthoralix® 8500 DDE product line offers dentists the opportunity to own a digital pan with features necessary for diagnosing both adults and children. We are eager to welcome new panoramic products in the second half of the year, developed with additional features that our customers have requested. Our new panoramic system takes not only a full panoramic image, but can also focus on specific areas of the mouth, with less radiation exposure for the patient, and faster exposure times. Improvements to patient positioning in this unit, usually a tricky aspect of a panoramic machine, make positioning basically “foolproof.” For those who like the workflow of film but also want digital capabilities, our PSP product line is also expanding. The new system is flexible, fast, easy-to use, and familiar to dentists. Our PSP product line covers a wide variety of needs, from standard intraoral sizes to of a full complement of extraoral panoramics and cephalometric images.”
John Steck: “Gendex has a long history of providing panoramic devices. Seizing the opportunity to partner with i-CAT, the company was able to take advantage of the i-CAT-developed 3D technology that is very popular with dentists. Since Gendex historically has been very well known and trusted by general practitioners, the GXCB-500™ 3D system was developed with these particular dentists in mind—for implants, extractions, third-molar extractions, impacted teeth, restorations, endo—all things that would provide better clinical results and expansion of procedures to GPs, as well as oral surgeons and periodontists. This 2-in-1 unit is extremely flexible, with capability for both panoramics and 3D, and it is adjustable to capture from the bottom of chin to base of sinus cavity, and extending to the TMJ. Later in 2011, we are anticipating a new high-quality pan/ceph/3-D combination system with many projections and the ability to capture 3D from a single tooth to the full arch or the TMJ. The system will deliver what GPs need: repeatability in the capture and quality of panoramic images and scans, flexibility to capture the images necessary for the procedures they perform, and the ability to upgrade to ceph and/or 3D as the practice grows.”