- Home
- Content Library
- Flip the Switch, Digitize, and Increase Patient Acceptance
Flip the Switch, Digitize, and Increase Patient Acceptance
By: Thomas Bilski, DDS
Intraoral scanners and 3D printers are certainly here to stay within dentistry and are a new raceway for communicating with our dental laboratories. Many dentists have been using intraoral scanners for milling crowns in office, capturing images for bite guards, clear aligner orthodontic appliances, and whitening trays, and in some practices full-arch imaging for removable prosthetics.1 The ease of use for intraoral scanners provides a savings in chair time, cost of impression materials and increased patient acceptance for dental therapies.2 The purpose of this article is to help readers:
understand the benefits of incorporating intraoral scanners and 3D printing
understand digital workflow and how to educate dental patients regarding its impact on treatment
understand the key benefits to digital workflow adoption
Digitize and Adopt
In the past 10 years, digital dentistry has advanced and allowed dentists and laboratories to take full advantage of the technologies. The advances in cloud-based workflow such as intraoral scanning, 3D printing and much more enables us to deliver superior quality products to our patients swiftly and accurately.3-12 This means more consistency along with the increased quality. Doctor-to-laboratory communication can be in real time, minimizing errors by validating that the scanned files are indeed accurate. This saves the clinician in cost value of time and financial resources—reduction in remakes and materials, and the tax impact over time.1,2 Systems for intraoral scanning and 3D printing of study models enhance process control and productivity.2 These intuitive platforms and tools along with training have made it easier to integrate new best protocols that can deliver fabulous rewards for the efforts and labors from both dental staff and laboratory.
Ease of Integration and Other Digital Advantages
Introducing new technology into a dental practice can be daunting. When presented with this challenge one must consider the benefits of switching from “old school” hard plastic impression trays with putty or clay molds to a new technique using a sophisticated camera. New technologies create an opportunity for learning within the dental office and staff, and while most of us say we like to learn new technologies, when we are actually presented with this opportunity, we feel the stomachache beginning to churn.
However, the process need not be painful, and often is quite the opposite.13 For example, while training with the CEREC intraoral scanner, the trainee gets real-time feedback regarding what he or she is trying to capture with the scan. The handheld camera is lightweight and easily held and positioned without fatiguing the hand of the clinician or staff. Once the scan has been completed, the monitor reveals the details of the hard and soft tissues within seconds. The software allows for zoom-in and rotational movements for closer scrutiny. Again, this immediate feedback allows the clinician to add more detail to the scan if there is a need for additional attention without having to begin rescanning. If necessary, the scan can be interrupted, the camera repositioned, and the scan then completed. An analog impression, contrariwise, must be completed in one attempt, and if there are inaccuracies, a second impression must be made from scratch to remedy the situation—costing the clinician both time and materials.2
While on the subject of time-savings, the ability to scan dual arches and bite registration creates a highly detailed and accurate virtual simulation of the oral environment within a few minutes, after which the digital file can be sent directly to the dental laboratory at the touch of a button, resulting in a considerable time savings within a busy schedule. No more mixing of impression material, waiting for the materials to set in the patient’s mouth, pouring stone casts and cleanup thereafter. Scanning also eliminates the risk of inaccuracies due to dental impression material shrinkage during pick-up and delivery times from the dental office to the laboratory, as well as the lag-time to physically move the impression between locations.
Adding digital scanning to your practice can also be a practice builder. Patient anxiety for both adult and pediatric patients may be virtually (pun intended) eliminated through the reduction of fear of choking or gagging from the impression material and the discomfort of waiting for the material set. Treatment planning and case acceptance frequently increase once the patient understands that scanning is quicker, more accurate, and more comfortable that analog impressions. Further, once the scan appointment is completed, patients impressed with the ease of the appointment are likely to tell their friends and families about the technology and experience provided by their dentist.
Finally, a crucial—particularly in the 2021 COVID-19 pandemic practice environment—benefit to digitizing dental therapy is an increase in infection control. At the time of this article our nation is under Centers for Disease Control and Prevention (CDC) guidelines to help minimize contact with aerosols and saliva. Intraoral scanning reduces those exposures compared to analog impressions as digital files and scans keep all involved free of contamination by elimination contact or touch points. Dental practices can thus safeguard both their employees and their laboratory partners without sacrificing quality.
Digitizing Removable Prosthetics**: Case Example**
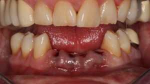
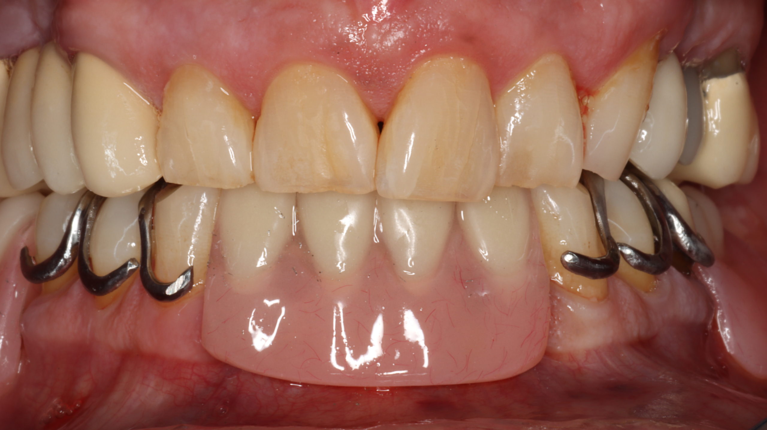
The case presented for this article will identify the workflow and the combined intraoral scanning, 3D printing, and software that allows for designing and processing an immediate removal prosthesis following extractions of the mandibular central and lateral incisors. Figure 1 shows the patient at presentation, with significant periodontal disease evident at the mandibular incisors. The patient was given the treatment options of dental implants with cemented/bonded long-term restorations, fixed crown-and-bridge to replace the mandibular incisors, and extraction of the mandibular incisors preparatory to a removable partial denture (RPD). The patient chose to extract the incisors and accept the mandibular RPD treatment plan.
To move forward with the workflow, prior to extraction and seating of the final RPD, rest seat preparations were completed (Figure 2). CEREC intraoral scanning of the final rest seat preparations were acquired and printed working models were fabricated (Figure 3). The diagnostic images were uploaded and delivered to the laboratory.
Once the scan and files were evaluated for accuracy, the process of designing a removeable partial framework was proposed following an identified path of insertion (Figure 4). The steps to create the final prosthesis included virtually blocking out undercuts, determining clasping tip locations, establishing the finish lines of the framework, applying tissue stops, designing the mesh, and designing major and minor connectors (Figure 5 and Figure 6). The laboratory prescription identified the mandibular lateral and central incisors to be extracted at the seating appointment for the mandibular RPD.
Figure 7 shows the final RPD delivered to the practice on a printed model. This final removable restoration was digitally designed and fabricated in the laboratory based on a single diagnostic imaging appointment at the clinician’s office using CEREC intraoral scanning.
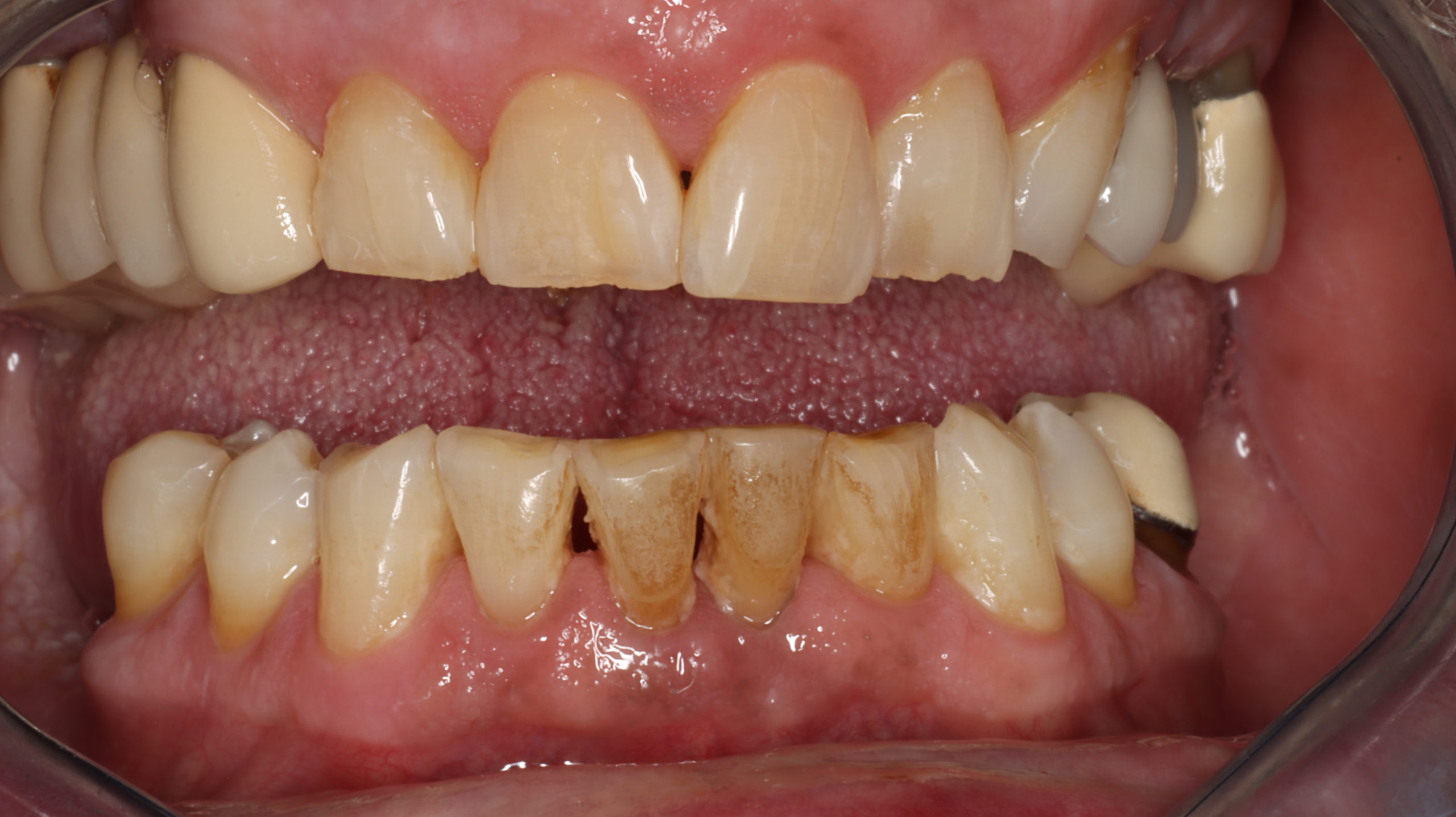
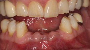
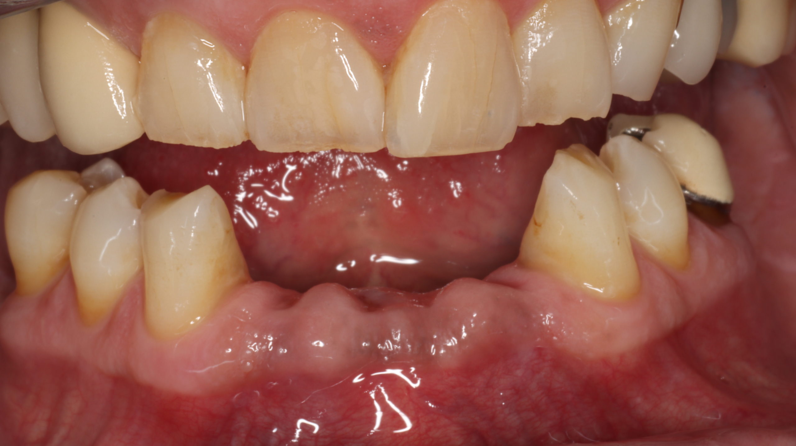
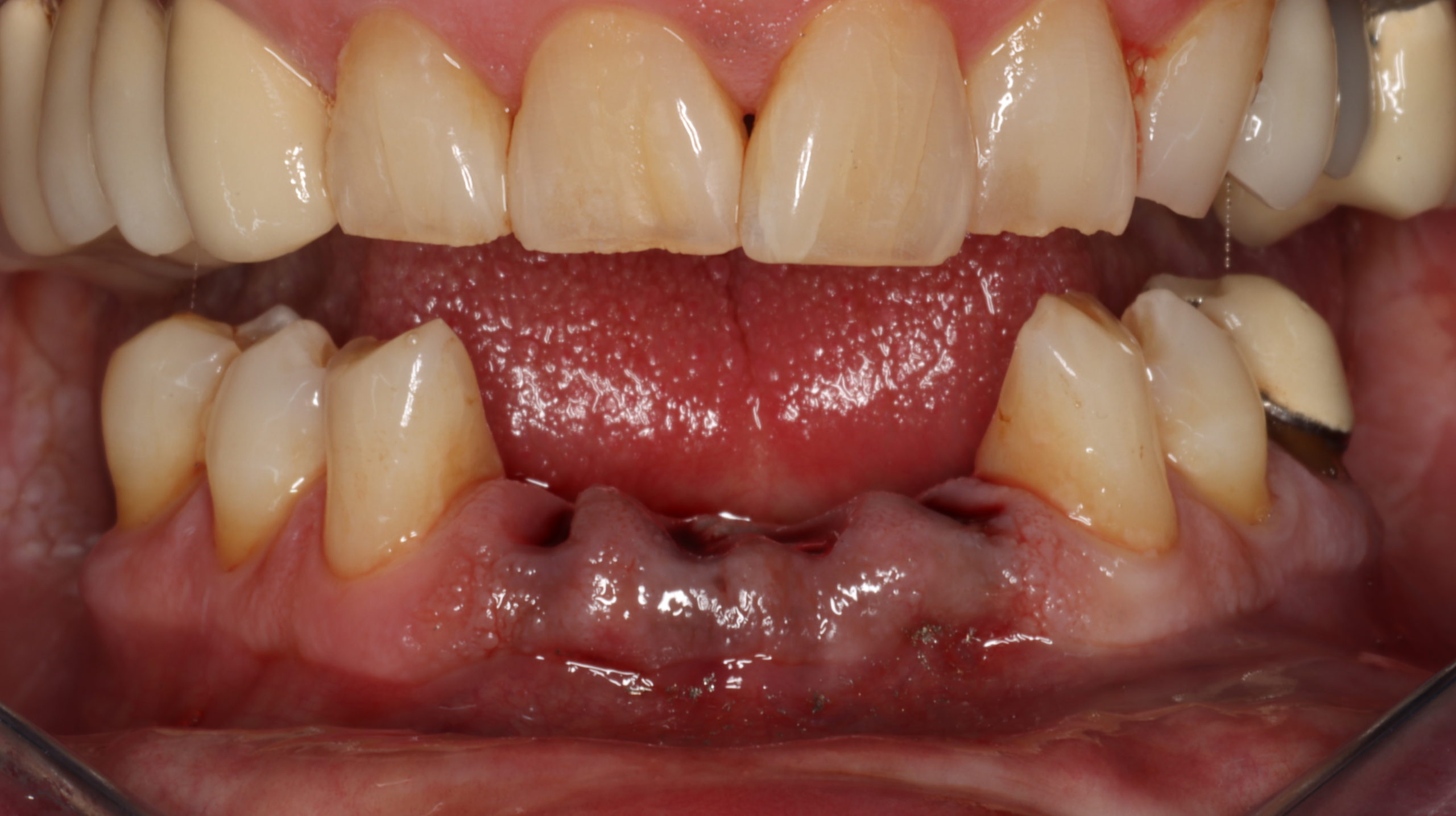
The final seating appointment required local anesthetic and extraction of teeth Nos. 23 through 26 (Figure 8). After insertion, the RPD was adjusted only on the distal denture flange due to tight fit against the right mandibular canine. The midline was spot on, occlusion was verified, and minimal additional adjustment was needed (Figure 9). The clasps and rest seats were in intimate contact with the teeth and the overall comfort to the patient was acceptable. Due to the hygienic design of the RPD, a 7-day follow up revealed that the RPD did not infringe upon soft tissue resulting in a clean, pain-free oral environment at the surgical site (Figure 10).
Conclusion
Dental practices and patients both benefit from advancements in digital technologies. Intraoral scanning for crown and bridge, clear aligner orthodontics, whitening trays, all-on-X implant restorations and removable prosthetics are available and readily integrable. Digital workflows can be clinically and financially rewarding for both practices and patients, and expectations for better innovations, increased processing speeds, and ergonomic improvements to these technologies make for an even more promising future. It may be time to drop the spatula and mixing bowls for time-saving and accurate digital processes that will help us serve our communities with confidence and predictability.
ABOUT THE AUTHOR
Thomas Bilski, DDS, practices privately in Independence, Ohio, and is the Co-Director of Midwest Implant Institute in Columbus, Ohio.
REFERENCES
1 Progress in digital dentistry: The practical use of intraoral scanners.
Suese K. Dent Mater J. 2020 Jan 31;39(1):52-56.
2 Clinicians reaping benefits of new concepts in impressioning.
Lawson NC, Burgess JO. Compend Contin Educ Dent. 2015 Feb;36(2):152-3.
3 Accuracy and practicality of intraoral scanner in dentistry: A literature review.
Kihara H, Hatakeyama W, Komine F, Takafuji K, Takahashi T, Yokota J, Oriso K, Kondo H. J Prosthodont Res. 2020 Apr;64(2):109-113.
4 Accuracy of digital models generated by conventional impression/plaster-model methods and intraoral scanning.
Tomita Y, Uechi J, Konno M, Sasamoto S, Iijima M, Mizoguchi I. Dent Mater J. 2018 Jul 29;37(4):628-633.
5 Local accuracy of actual intraoral scanning systems for single-tooth preparations in vitro.
Zimmermann M, Ender A, Mehl A. J Am Dent Assoc. 2020 Feb;151(2):127-135.
6 Accuracy, reliability, and efficiency of intraoral scanners for full-arch impressions: a systematic review of the clinical evidence.
Goracci C, Franchi L, Vichi A, Ferrari M. Eur J Orthod. 2016 Aug;38(4):422-8.
7 Impact of different scanning strategies on the accuracy of two current intraoral scanning systems in complete-arch impressions: an in vitro study.
Passos L, Meiga S, Brigagão V, Street A. Int J Comput Dent. 2019;22(4):307-319.
8 Validity and reliability of intraoral scanners compared to conventional gypsum models measurements: a systematic review.
Aragón ML, Pontes LF, Bichara LM, Flores-Mir C, Normando D. Eur J Orthod. 2016 Aug;38(4):429-34.
9 Using Intraoral Scanning to Fabricate Complete Dentures: First Experiences.
Goodacre BJ, Goodacre CJ. Int J Prosthodont. 2018 Mar/Apr;31(2):166-170.
Memari Y, Mohajerfar M, Armin A, Kamalian F, Rezayani V, Beyabanaki E. J Prosthodont. 2019 Feb;28(2):e536-e544.
11 Complete-arch accuracy of intraoral scanners.
Treesh JC, Liacouras PC, Taft RM, Brooks DI, Raiciulescu S, Ellert DO, Grant GT, Ye L. J Prosthet Dent. 2018 Sep;120(3):382-388.
12 Digital intraoral scanning technique for edentulous jaws.
Fang JH, An X, Jeong SM, Choi BH. J Prosthet Dent. 2018 May;119(5):733-735.
13 Learning curve of digital intraoral scanning - an in vivo study.
Róth I, Czigola A, Joós-Kovács GL, Dalos M, Hermann P, Borbély J_._ BMC Oral Health. 2020 Oct 19;20(1):287.









