- Home
- Content Library
- CBCT: How, What, Where, When?
CBCT: How, What, Where, When?
William Busch, DMD, MAGD, Diplomate ASBA
CBCT has transformed dentistry in many ways. Having this digital technology enables practitioners to be more productive by streamlining workflows — and to be more profitable by offering increased services.
Improved workflows. On average, practitioners can improve diagnosis by 30—35% with CBCT. Having a 3D view of the patient’s mouth saves you time, saves your patients’ time, and enables more informed treatment decision making.
Increased patient acceptance. On average, dental practices have $500,000 in pending treatment plans, and now their patients can be more active participants in these decisions with tools like cone beam technology and digital impression taking. CBCT actually allows them to see what I see, and they can understand it. Because of this, my patients are asking me what’s next rather than me telling them what to do.
High practice growth. Practitioners can expand their practices, using CBCT for:
Implant placement
Impactions and endodontics
Inferior alveolar canal location
Trauma evaluation
TMJ visualization
Sinus issues such as mucus retention cysts and sinus infections
Surgical guides
Odontogenic lesion location
Placement
18% of general practitioners in the US are placing implants. Accuracy is significantly increased when armed with CBCT, eliminating contingency treatment plans and surprises during implant surgery. Prior to having these systems, many practitioners were handling implant placement freehand. Medically, you are on much firmer ground when you have cone beam in place. It’s akin to having GPS technology: you know the size, what brand, and where to place the implant in the patient’s mouth.
The CBCT measures an exact one-to-one ratio with no superimposed structures or magnification. This way, you can precisely measure in between implants to ensure you have the proper room from one implant to another, and you can assess the bone quality and quantity. Specialists can place a single implant in roughly 15 minutes if they are well prepared.
These days, patients are more aware of this technology, and it’s not uncommon for them to ask whether you will be using CBCT as a surgical guide for their implant procedure. Prior to the procedure, can have them sign off on pictures, so they have a full understanding of the treatment plan, and so that you are better covered legally.
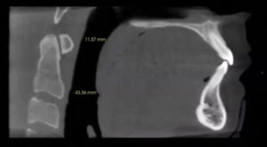
Endodontics
Endodontics is another area where CBCT helps practitioners make proper choices, save visit time, and improve their bottom line. Since we get a full volume on new patients, if they come in later on and need a root canal, we can plan each patient’s case ahead of time. We reference their 3D and look for extra canals and unusual anatomy. Today, I combine the CBCT with CEREC technology and am able to perform a root canal treatment and add a crown all in the same visit in about 90 minutes.
Airway Analysis
Having CBCT in your toolbox offers the means to enhance the well-being of patients in numerous ways, particularly in sleep medicine. Experts say that consistently getting a good night’s sleep can add ten years to your life, so this is an important area where we can benefit our patients.

1 in 15 Americans have sleep apnea, and 85 percent of these are undiagnosed. With cone beam, my hygienists are able to conduct airway analysis while they’re waiting for me to come into the exam room, and they’ll get the conversation started, asking whether the patient has daytime tiredness or related symptoms. Our radiologist then examines a three-dimensional view of the airway, looking at the sinuses and whether there is a deviated septum, and if needed, I refer patients back to their primary care physician for help if it appears that they may have sleep apnea.
Earlier Diagnosis
Screening and periodic exams are of paramount importance for preventing pain. Practitioners are likely to have 25% more incidental findings with CBCT in place. It enables earlier identification of a wide range of issues such as erosions, osteophytes, and pneumatization of the sinuses, which are difficult to detect with conventional radiographs.