- Home
- Content Library
- Digital Dentistry: The Best Care Available!
Digital Dentistry: The Best Care Available!
It was a cold blustery day in Chicago at the 1997 Midwinter meeting, but I was excited! I was moving into digital dentistry, purchasing my first CAD/CAM system to produce same-day restorations. My plan was to cut lab costs and overhead while delivering a convenient quality product to my patients and practice–the proverbial “win-win” situation.
Indeed, I reduced my lab bills, and used the improved cash flow to help finance my dream office and building. However, the CAD/CAM equipment and materials from 20 years ago had some shortcomings. With a lot of hard work, study, and effort, I provided good restorations to my patients, but I wanted lab quality, and we weren’t there yet.
Flash forward to 2017. With today’s equipment and materials, our best dentistry can be done in the digital environment whether in conjunction with a lab by sending the lab a digital impression, or by producing same-day restorations in the dental office. Lab-quality results have arrived.
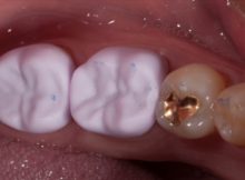
In my two-doctor practice I have three digital systems, because one is no longer enough! I use the Planmeca FIT System daily for producing same-day bridges, crowns, veneers, and onlays. I also send Planmeca digital cases to my dental lab. My TRIOS 3Shape scanner excels at full-arch scanning and communicating with my lab because it scans in HD (High Definition) photo-realistic color.

My staff retention has been fantastic since I’ve gone digital. Once people are exposed to the digital workflow, they have no desire to go back to the pen and paper way of doing dentistry. My assistants enjoy designing and producing crowns. They are energized and motivated by seeing crowns they made cemented in our patients’ mouths, especially when they praise the fine work the staff does. Dental assistants can now become proficient in digital impressioning, digital design, and even staining and glazing to produce beautiful restorations.

One of the best ways to improve the return on investment from your Planmeca FIT system is to continue the learning process. Single posterior crown production, while the bread-and-butter dentistry of my practice, is only the start of what can be done. Learning to produce quadrant dentistry and converting large posterior composite restorations to onlays can facilitate a high jump in production per hour, boosting office production. Continuing education courses are now readily available to expand your skills to include producing anteriors, implant crowns, and bridges.
My assistant makes almost all of my implant crowns. We start with prosthetically driven implant placement, planning our cases with CBCT and utilizing surgical guides, when needed, to optimize placement. Placing the majority of implants myself, I can plan from the beginning to use screw-retained implant crowns whenever possible.


We produce anterior Emax bridges that do not require layering in-house. And in the odd case that still requires a dental technician’s touch, we submit the digital file to our lab.
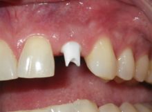
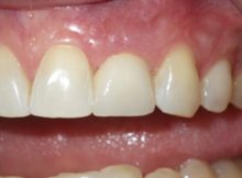
One of the most rewarding things I do is the single anterior crown. With the different block options available and chairside custom stains, I consistently produce a more aesthetic final result in one appointment than when working with a lab. The only way to duplicate the results I achieve chairside is through an additional trip to the lab for a custom staining appointment. What I do in one visit requires at least three visits when using a laboratory: one appointment for impression and temporization, another at the lab for custom staining, and a third at my office, if all goes well, for the insertion. My patients love when I do one-visit anterior crowns/veneers; it is a fantastic practice builder!
I have had the vision for a long time to create a digital record of all of my patients. 3Shape TRIOS is releasing this feature soon, and it already integrates with Dentrix! It would be part of the patient’s file, allowing us to compare conditions now with conditions in the future, side by side. Periodontal recession, wear facets, fractures of teeth and fillings, along with tooth movement could be measured and documented, leading to far superior diagnoses.
In summary:
Build your future with digital dentistry now. The technology has matured and enables us to deliver the best possible care.
Leverage digital technology to offset the increasing cost of producing dentistry while having fees squeezed by insurance companies.
Energize your office. Staff and patients will be excited by your new technology. Digital offices grow faster than the average practice.
If there are concerns about affordability, request a Henry Schein Practice Analysis–the numbers do not lie.
I can’t wait to see what else is coming. I’ll see you in the digital future!
This article was originally published in Sidekick Magazine.
About the Author: Dr. William Davidson has been in private practice since 1981. He attended Case Western Reserve University and graduated with a Doctor of Dental Medicine degree in 1981. He is well known for practicing state-of-the-art dentistry and is a Henry Schein KOL (Key Opinion Leader) and an ISCD, certified CAD/CAM instructor. He is sought after by both national and international groups to train dentists in the art and science of using both Planscan and Cone beam. In addition, Dr. Davidson owns Everest Dental Studio and instructs dental laboratories on the use and benefits of digital workflows. Dr. Davidson is frequently called upon as a technical advisor for various dental manufactures and assists in evaluating new precision instruments. Dr. Davidson has three different digital intraoral scanners and has been using CAD/CAM since 1997. He has personally instructed over 800 dentists in how to use and incorporate digital dentistry into their practices. Dr. Davidson was the first General Dentist in the country to practice with CAD/CAM and Cone beam together.