- Home
- Content Library
- Same-Day Crowns with the True Definition Scanner and Planmeca PlanMill
Same-Day Crowns with the True Definition Scanner and Planmeca PlanMill

The evolution of digital scanning technologies paired with chairside milling continues to be a popular topic in dentistry, but many dentists have concluded that the available devices are too expensive or too impractical for their offices. The Midmark True Definition Scanner has the potential to change that. This technology makes digital scanning more affordable than ever before. The True Definition Scanner provides a number of key features that make it easy to implement in the office and flexible for many workflows. This versatility, combined with the system’s low price, make this scanner a very exciting development.
The system uses an open and secure cloud-based platform to connect with other systems, giving dentists flexibility in how they share clinical files. As a Planmeca PlanMill user, I have seen firsthand how seamlessly the technology connects and integrates with my milling system, making it simple to create same-day restorations that mill predictably and fit accurately.
The True Definition Scanner from Midmark offers a small wand that is light and balanced, making it easy to maneuver in the mouth from a seated position just like any other handpiece. The wand has no moving parts, so there is no need for re-calibration, which adds to its simplicity. The intuitive operation makes the scanner easy to incorporate into everyday practice, and once dentists experience the accuracy of restorations made with a digital impression, they will truly appreciate the added efficiency.
The following case demonstrates the benefits of this system.
Case Description

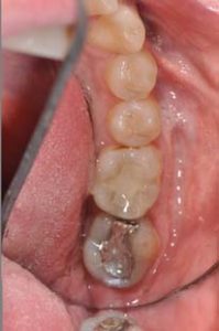
The patient was a 35-year-old male who presented with recurrent decay on a large amalgam filling on the lower left second molar. It was determined that it would not be possible to salvage the restoration and a full crown would be necessary. The patient was informed the crown could be made the same day using the True Definition Scanner, and the PlanMill system to mill the restoration chairside.
The patient was anesthetized, and the True Definition Scanner was used to scan the opposing arch and the bite while the anesthesia took effect. The defective area of the amalgam was then removed, and the rest of the tooth was prepped. A two-cord technique was used for gingival retraction and the prep was scanned, with the scanner quickly picking up the margins.
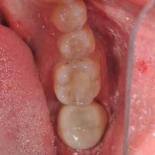
The crown was then designed in 5 to 10 minutes using the Planmeca software, after which it was milled in approximately 20 minutes. The crown was cleaned and polished, then tried in the mouth to confirm its fit. Because of the accuracy of the True Definition scanner, no adjustments were necessary. The tooth was then isolated and 3M™ ESPE™ Scotchbond™ Universal Adhesive was applied. The bonding surface of the restoration was sandblasted and cleaned, and then cemented with 3M™ ESPE™ RelyX™ Ultimate Cement.
Conclusion This case is a typical example of how seamless the process of scanning an impression and designing and milling a same-day restoration in the office can be. In my practice now, the time from completing the scan to cementing the crown is approximately 40 minutes. Using this technology, we can accomplish in one short visit what used to take a week or more. Patients receive their final restorations quickly and with a more comfortable procedure, and dentists are able to work with confidence knowing that crowns fit with outstanding accuracy.
This article was originally published in Sidekick Magazine.

About the Author: Dr. Brent Fredrickson practices in a private group practice in St. Paul, MN. He is a 1995 graduate of the University of Iowa College of Dentistry. He is an active member of the MOA, ADA, and AACD, and his practice focuses on Comprehensive & Cosmetic Dentistry.