- Home
- Content Library
Content Library

Family Dentistry at the Lakes – Alexandria, Louisiana
RISK OR REWARD? That was the crossroads that Dr. Wilton Guillory, Jr. and Dr. David M. Carlton III faced. Each month, 50-60 new patients were walking in the door of Family Dentistry at the Lakes in Alexandria, Louisiana, and the office was simply out of space. The waiting room was crowded on busy days and there was just a small, single check out for patients. Yet, the economic downturn made it a risky time to consider any type of expansion or new construction, even though it appeared to be the logical next step for the practice. What did the Doctors decide to do? The doctors took a calculated

Dr. E. Morgan Scheiber
A 200-year old Victorian building housed the practice he purchased from Dr. Joseph Santelli in 2001, and it had character and charm, but it also had problems. It was extremely inefficient to heat and cool and was also repair-prone, requiring the purchase of three new furnaces in less than ten years. Sadly, the stately Victorian home was simply not designed for a modern dental practice. The outside of the building also had issues – the parking lot was cramped and inadequate for handicapped patients. A WISH LIST COME TRUE Dr. Scheiber, a specialist in sedation and cosmetic dentistry, discovered a new medical building slated for construction in an upscale

Great Lakes Oral & Maxillofacial Surgery Center
“I enjoy coming in so much that I’m always early,” said Dr. Shuren. He may not have known what a difference his new practice would have on his enthusiasm, but what Dr. Shuren did know was what he wanted in his new office, from its interior design and technology to the patient experience. His desire was to have a facility with cutting-edge equipment and an environment that was pleasing and attracted new patients and referrals. “I wanted to practice in a facility that was state-of-the-art and would allow for a transition to digital radiography,” said Dr. Shuren. “I envisioned an office with top-of-the-line equipment and modern décor. It

Making the Right Impression for Your Patients and Practice
It must meet the challenges and satisfy the clinical demands of your practice, your patients and lab partners. It is my opinion that digital impressioning has achieved the status of the gold standard in restorative dentistry. Computers operate with an efficiency and an accuracy that conventional materials cannot consistently attain. One such technology that truly meets these criteria is the 3M™ ESPE™ Lava Chairside Oral Scanner C.O.S. The following case illustrates how the Lava C.O.S. can provide excellent results in restorative dentistry from impressioning to seating. CASE REPORT The patient, a 79-year-old female, presented to the office with a failed fixed partial denture #2XX5. The prosthesis had failed due to

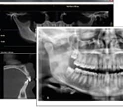
Capturing New Treatment Opportunities With the GXCB-500 HD™
By Arthur I. Schwartz DMD, FACD, FICD My office has been computerized since 1985, with digital imaging implemented in 2004. In-office 3-D scans were the next logical step, so that I could obtain information unavailable from 2-D methods. With my increasing focus on implants and implant preparation, the GXCB-500 HD from Gendex has added a dimension to my practice that allows it to grow on many levels. The data gained from 3-D scans plays an important role in the implant process. CBCT views provide me with exact measurements, width and height of bone, root position, and tooth position in relation to the nerves and sinus. I easily take accurate

Broken Appointments: The Sure Path To Poverty
By Dr. Charles Blair & Mr. David Jones On a compounded basis, forgone revenues can reach millions of dollars over a 35- year career. Fee increases go directly to the bottom line. However, a broken appointment deprives the practice of the appointment’s cash flow. For example, all supplies and lab expenses average 14% –18% of revenues. Therefore, a broken $100 visit deprives the practice of $82 to $86 net cash flow or higher if a lab fee is not applicable. Have you ever calculated the dollars it costs for broken appointments in only one year? The figure could be up to 25% of your take-home every year! Hygiene

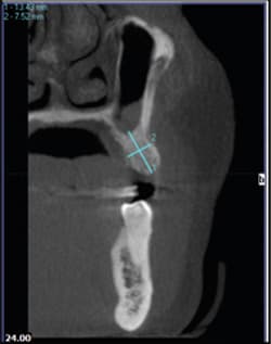
From 3-D Scan to Treatment Success
Many clinicians, general dentist, and specialists alike, are adding Cone Beam 3-D technology (CBCT) to their practices to facilitate implant placement. Since CBCT offers the most precise and complete information for diagnosis and the treatment planning for dental implants, these dentists understand that they can experience greater predictability in the success of this highly sought after procedure. For those placing dental implants now with 2-D radiography, the stages of placement become more accurate with the adjunct of CBCT. It's all in the planning, and CBCT arms the doctor with critical planning information in three dimensions—for their three dimensional patients. Here is an example of the process. Along with a physical examination,
Practice Transition Planning
YOUR PRINCIPAL ASSET For most dentists, ownership of their dental practice is the major focus of their energy expenditures, financial situation, and professional lives. Years of blood, sweat, and tears, coupled with the relationships formed with both staff and patients, have caused dentists to form a deep-seated emotional attachment with their practice. For many, the dollar value of that practice represents a significant portion of their financial assets. For the new dentist, there is a definite value in acquiring the patient base which has taken the transitioning dentist years to develop and will provide an immediate and substantial cash flow. ALL EXPERIENCE TRANSITION Whether it is due to a change in

Working in PARADISE… With the E4D Dentist System!
Our blood pressure elevates slightly, a small imperceptible bead of sweat pops out somewhere, and our pulse quickens slightly. Is this going to fit? How will it look? Is the occlusion going to be right? How much adjusting am I going to have to do? Are the contours right? What about those interproximal contacts? These are the questions that drive dentists absolutely crazy! It seems to make our jobs less fun, less enjoyable, unpredictable, frustrating, maddening— okay, okay, I'll stop there! Whether you've been practicing for one day or for 30 years plus, when it comes time to seat that crown, veneer, onlay, or inlay, I know you hold

Resolve to Evolve
As the economy begins to recover, one way to start the year off right is by adding equipment that will increase future profitability. Upgraded technology is a very visual way to differentiate a practice from the competition. Besides showing the patients that a practice offers the latest treatment options possible, new technology offers advantages to the dentist as well—a more detailed view of the dentition, which can increase confidence and expand treatment options. Dentists who own digital pans have already witnessed the role that their investment plays in their practice's financial success. Dr. Roscoe Scott, who runs a private practice in Overland Park, Kansas and implemented a digital pan (Gendex

The Gold Standard in Imaging Goes Platinum
SIMPLY "PLUG-N-RAY" By keeping the concept of the DEXIS single-sensor design and adding advancements in connectivity, image capture technology, and ergonomics, this exceptional sensor gives dental teams a new experience in digital imaging. One unique feature of the DEXIS Platinum sensor is its direct USB digital technology that maximizes portability for use of a multiple-operatory setting. The capture and processing electronics are fully integrated into the sensor itself, enabling a direct connection to the computer, without any kind of adaptors, controllers, or docking stations. Additionally, durability is optimized with the first-ever gold plating on a sensor connector. "The company calls it 'plug-n-ray,' but we call it 'easy'," explains Dr. Terry

Digital Dentistry Delivers Part 2
It's a goal I work toward, but it is not easily attained. You know the days I'm talking about, when everything goes right and you can't believe its five o'clock already. That is the feeling I want every day. The way to get there is to control the things you can control and everything else will take care of itself. Two of the things in your control are practice speed and efficiency. I'm sure everyone would agree that mastery of these two areas benefit the practice immensely. Digital technology will be able to influence both of these on a daily basis to make your practice both professionally

CR Dental Health Clinic
After testing all types of dental products, the results are disseminated to colleagues around the world, supporting dental healthcare providers with in-depth evaluations of new products that often lack testing aside from being used on patients in a random, uncontrolled manner. Some examples of products studied at CR Dental Health Clinic are restorative materials, tooth-whitening systems, air abrasion units, caries detection devices, and a wide variety of dental equipment. The newly renovated facility is within proximity to the CR Foundation, its labs, and teaching facilities. "We needed a new clinic where we could continue our clinical evaluations and research; teach dentists and lab technicians; and highlight those products and services

Technologies That Show I Care
It helps people reunite with family and friends and helps professional relationships blossom across international borders. In my practice, technology has connected me with my existing and prospective patients, and has literally given them the opportunity to hold their future dental health in their own hands. The beauty of all of this is that this technology—my DEXIS® digital X-ray system—has already brought benefits on a clinical level. Digital radiography represented a great evolution, from postage-stamp-size film X-rays to full-screen images displayed on computer monitors. With the introduction of the DEXIS Platinum sensor, X-ray capture became more comfortable for my patients, and the images gained even more clarity and definition. For me,

Confessions of a Dental "Couch" Potato
Dr. Bryan Couch, Coppell, TX After 25 years of private practice, it seems like we are always evaluating new technology, how it may benefit our patients and balancing the cost of this technology with a return on the investment before the possibility that this newly purchased technology becomes obsolete. Let's look at the dental profession. Many dentists are attracted to the profession with a genuine attitude of service. I have had numerous opportunities to talk with fellow professionals who sincerely care about providing the best for their patients. The practice of dentistry may provide a career of service to your patients and the opportunity to provide for your family.

Will "Uncle Sam" Ask You to Open Your Wallet?
By Deborah Dooley Today's employer must tread carefully through the maze of new regulations, enforcement of the weathered ones, and prepare for more scheduled changes. It's no wonder that regulators are finding non-compliance during their audits! How can an employer maintain their business operations and stay abreast of the legal requirements? The best solution is to audit yourself before a government representative knocks on your door to do the same thing. Consider the following topics for review and institute a regular review of your practice. Take the time to periodically review the employment policies you have in place. These are typically defined in an employee handbook or a company

Dr. Greg Evans, Big Grins Pediatric Dentistry Fort Collins, Colorado
> "I wanted to invest in an energy-efficient building that would save in the > long run and look more desirable to potential buyers in 20 years time," > comments Dr. Evans. Instead of contributing to the detritus from today's fast-paced consumer lifestyle, this office has harnessed a wide variety of green-based choices to unfold a unique, highly productive business that realizes greater efficiency and profitability through adherence to guidelines that reduce its energy footprint. Big Grins opened its doors in July 2008. Housed within the first building in Northern Colorado to be designated as Platinum-level LEED certified, Dr. Evans' office is also the first dental office to practice
Dr. Ruben Cohen Park Avenue Oral & Facial Surgery
PARK AVENUE ORAL & FACIAL SURGERY - NEW YORK, NY Dr. Ruben Cohen State-of-the-art equipment, a prime location, and style elements that harmoniously combine both classical and contemporary design features make Dr. Ruben Cohen's New York City, New York office, Park Avenue Oral & Facial Surgery, a dream come true. > "I told myself that the sooner I begin, the sooner I will be up and running > Manhattan's premier oral and maxillofacial surgery practice!" The practice fulfills the Doctor's vision for a high-end, chic boutique-like dental office with plenty of upscale sophistication and a high regard for the building site's architectural details. "It took me almost three years to

What's So "Special" About Digital Radiography?
Although specialists and those who focus on specialized treatment may only use a portion of their digital radiography tools, the benefits they gain are invaluable. Just think what a full compliment of tools can do for you! Here’s what is special for: PROSTHODONTICS “Prosthodontists rely heavily on periapicals as opposed to panoramic X-rays. I (and the patient) used to wait for most of an hour for a single set of film X-rays to be taken, processed, and mounted. Now, X-rays are available immediately on the screen as my assistant takes them. I am often looking for subtle changes in tooth structure that can be difficult, if not impossible, to distinguish.

The Buzz On Direct Current X-ray Units
By Gary Alberts, DDS Since direct current is more uniform, the exposure times can be greatly reduced. This steady output renders very even, very consistent X-rays, especially with digital sensors. Armed with this knowledge, I decided it was time to invest in a DC intraoral X-ray unit. I have 5 X-ray units ranging from many years to just a few years in age. My digital sensors are about 5 years old. I replaced one of the older units with a new DC unit about a month ago, starting with the hygiene room since my hygienist takes many of the X-ray for the practice. For this installation, we mounted

How To Retire On Your Terms: Without A Government Stimulus Package
By Gary Kadi Retirement can be seen as an end for some doctors and as a beginning for others. It can be seen as a first-class ticket to freedom for some and a personal prison for others. A subconscious blind spot for most is that it happens only a few steps away from the dirt nap, which usually creates an unnecessary string of justifications as to why one should wait to retire. There is a new urgency for doctors who are not in a position to capitalize on a market turnaround (history shows us in a three to five year contraction) or long-term compound-interest opportunities of annuities, so
Get Organized for Your Heirs
Even with a formal estate plan in place, it is a good idea to organize your personal paperwork and inform your heirs of basic decisions and wishes that will facilitate the settlement of your estate after your death. In doing so, you can ensure that your preferences for funeral arrangements will be followed, friends and family that are important to you may be notified of your death, and items with sentimental value may be properly passed on. Without organized financial records, it will be difficult for your heirs to locate all of your assets, with the risk that certain stocks, bonds, partnership interests, bank accounts, real estate, or

A New Spin On Panoramics
Advanced panoramic units with robotic rotation emerged following years of extensive research, and today’s professionals are benefiting from the primary advantage of this advanced technology—highly accurate images. Since human anatomy varies widely, engineers have been challenged to create a panoramic X-ray unit that would capture images of both maxillary and mandibular arches and their supporting structures with even magnification and minimal distortion. Beginning in the late 1980s, research breakthroughs came when studies in facial structure measurements at the University of Texas, San Antonio, in cooperation with the U.S. Air Force, resulted in a universal mathematical model of standard jaw shape based upon statistical averages. The model incorporated calculations of the

We All Want a Little TLC
By Dr. Brad Durham After all, the patient’s comfort and perception of the office keeps our waiting room filled with return patients and new referrals. Regarding our new electric handpieces, patients agreed on many aspects: Question 1: New electric handpieces feel more comfortable and run at more uniform speed regardless of load, saving time, and increasing efficiency and functionality. This equipment actually shortens the time you spend in the dental chair. How do you feel about that? Response: Although all of our patients enjoy a good visit to the dental office, they appreciated faster completion of their procedure, so they can go out and put their teeth to practical use,